Ачаалж байна...

CERVIRAY – ГАРЫН АВЛАГА

ЗУРАГ АВАХ

Estimated reading: 1 minute 353 views
[ЗУРАГ АВАХ ГОРИМ]

Зураг авах горимд байх үед зүүн талын голд байрлах товчлуур дээр дарж зураг авах боломжтой. Мөн үндсэн төхөөрөмж (Кольпоскоп)-ийн бариулд суулгасан зураг авах гохыг ашиглаж болно.

Тайлбар: Цууны хүчил түрхсэний дараа эмгэг өөрчлөлтийг илүү сайн гаргахын тулд зүүн талын цэсэн дээрх зураг авах товчлуурыг ашиглан фокус сайн орсон үед ар араас нь угсруулан дарж дэс дараалсан олон зураг авах боломжтой.

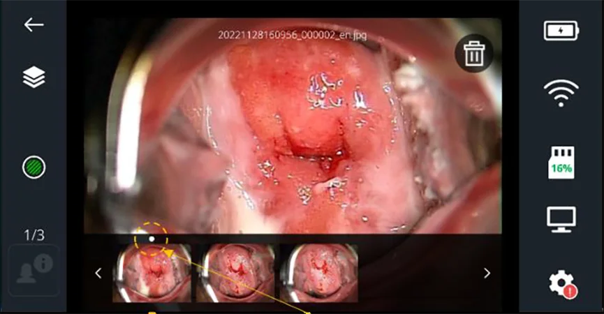
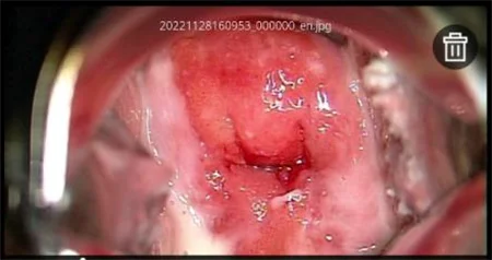
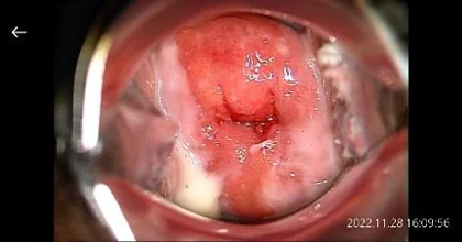
Зураг 9а - Үзлэгийн үеийн дэлгэцийн харагдац
Зураг 9б - Үзлэгийн үеийн дэлгэцийн харагдац
[ЗУРАГ АВАХ / БИЧЛЭГ ХИЙХ ГОРИМЫН ТОХИРГОО]

– Зураг авах горим нь үндсэн горим юм. Хэрэв та үндсэн горимыг бичлэг хийх горимд өөрчлөхийг хүсвэл [App setting -> Option setting -> Use video]-г тохируулна уу!
– Бичлэг хийх горимд тохируулсны дараа зураг авах горимын товчлуур гарч ирнэ. Хэрэв та энэ товчлуурыг дарвал энэ нь автоматаар товчлуур  болж өөрчлөгдөх бөгөөд энэ нь танд бичлэг хийх боломжийг олгоно. Хэрэв та товчлуурыг эсрэгээр нь дарвал энэ нь  товчлуур болж өөрчлөгдөх бөгөөд энэ нь танд зураг авах боломжийг олгоно.
– Зургийн горимд буцаж шилжихийн тулд [App setting -> Option setting -> Not use video]-г тохируулна уу!

Cerviray_App_08_Video_Mode
Зураг 10 - Дүрс бичлэг хийх горимын харагдац

Бичлэг хийх горимд та зүүн талд байрлах товчлуур дээр дарж бичлэг бичиж эхлэх боломжтой. Та зогсоох товчийг дарснаар бичлэгээ зогсоож болно. Үндсэн бичлэг хийх хугацааг 30 секунд гэж тохируулсан байдаг. Бичлэг хийх цагийг өөрчлөхийн тулд [App setting -> Video mode] руу очиж өөрчлөлт хийнэ үү! (10 сек. 20 сек. 30 сек. 40 сек. 50 сек. 60 сек. 70 сек. 80 сек. 90 сек, Хязгааргүй). Хэрэв та зогсоох товчийг дараагүй бол тохируулсан цаг дуусахад бичлэг автоматаар зогсох болно.

[НОГООН ФИЛЬТР АШИГЛАХ]

Ногоон фильтр асаалттай үед ногоон фильтрийн эффект нь бүх зураг дээр бодит цаг хугацаанд хэрэглэгдэх болно. Ногоон фильтр товчлуур нь зөвхөн [App setting -> Option setting -> Green filter]-г тохируулсан үед л харагдана.

Зураг 11 - Үзлэгийн үед ногоон шүүлтүүр асаалттай дэлгэцийн харагдац

Тайлбар: Та ногоон фильтр асаалттай зураг авсан ч хадгалсан зураг дээр ногоон фильтрийн эффект ороогүй байна. Харин бичлэг хийх горимын хувьд ногоон фильтртэй дүрс бичлэг хадгалагдах болно.

[ЗУРГИЙН ЦОМОГ]
Зүүн доод талд байгаа цомгийн товчлуур дээр дарахад та зургийн цомгийн дэлгэцийг харах болно. Зургийн цомгийн дэлгэцийн голд хамгийн сүүлд авсан зураг, доод мөрөнд өмнөх зургийн жагсаалт, хоёр талдаа хажуугийн цэс харагдана. Доод зургийн жагсаалтад зургуудыг авсан цагийн дарааллаар жагсааж харуулдаг. Дараагийн зургуудыг харахын тулд гүйлгэж харна уу! Цагаан өнгийн цэг нь таны одоо харж байгаа зургийг илэрхийлнэ.
Зураг 12 - Цомгийн дэлгэцийн харагдац
  • Хэрэв авсан зураг дээр умайн хүзүү танигдахгүй бол дэлгэцийн дээд хэсэгт дараах анхааруулга гарч ирнэ.
  • Нийт 5 хангалтгүй , 2 тодорхойгүй анхааруулгыг харуулах болно. Хүсэлт илгээсэн үед хангалтгүй зургийг хиймэл оюун ухаанаар үнэлэхгүй бөгөөд хиймэл оюун ухаан нь зөвхөн хангалттай гэж үнэлэгдсэн зургийг үнэлнэ.
[ДЭЛГЭЦНИЙ ЦЭСНИЙ ТАЙЛБАР]
Тэмдэг Нэр Тайлбар
Зургийн харагдах байдал Одоо байгаа файлын зураг
Файлын нэр Одоо байгаа зургийн файлын нэр
Зураг устгах товчлуур Одоо дэлгэцэнд харуулж буй зургийг устгах
Жижиг зургийн жагсаалт Цомогт хадгалсан зургийн жагсаалт
[ЗУРГИЙН ХАРАГДАХ БАЙДАЛ]

Анхдагч дэлгэцийг Зураг 13 (a)-д үзүүлэв. Зургийг томруулж харахын тулд зураг дээр дарах бөгөөд жижиг зурагны жагсаалт болон хажуугийн цэс алга болж Зураг 13 (б)-д үзүүлсэн дэлгэцэн дээр уг зураг гарч ирнэ. Энэ дэлгэцэн дээр хоёр хуруугаараа зургийг томруулж, жижигрүүлж үзэж болно.

Зураг 13 (a) - Цомог - анхдагч харагдац
Зураг 13 (б) - Зургийн харагдац Дэлгэц дээр дарснаар дүрсийг бүтэн дэлгэцээр харуулах боломжтой. Хоёр хуруугаараа томруулж, жижигрүүлнэ.
ДҮРС БИЧЛЭГИЙН ХАРАГДАХ БАЙДАЛ]
Дүрс бичлэгийн хувьд тоглуулах товчлуур дэлгэцний голд гарч ирнэ, Зураг 14 (a)-г үзнэ үү! Тоглуулах товчийг дарсны дараа видео тоглуулах болно, Зураг 14 (b).
Зураг 14 (a) - Дүрс бичлэг тоглуулах товчлуур бүхий дэлгэцний харагдац
Зураг 14 (б) - Дүрс бичлэг тоглуулж байна
[НОГООН ФИЛЬТР]
  • Ногоон фильтр асаалттай байхад зураг авч дараа нь хиймэл оюун ухааны үнэлгээнд илгээж болно.
  • Ногоон фильтрийг унтрааж авсан зургийг товчийг дарснаар ногоон фильтр хийж болно.
Зураг 15 - Ногоон фильтр ажиллуулсан үеийн дэлгэцийн харагдах байдал
Тайлбар: Хэрэв ногоон фильтр асаалттай дүрс бичлэг хийсэн бол ногоон фильтрээр шүүсэн дүрс бичлэгийг тоглуулах болно. Хэрэв ногоон фильтрийг асааж дүрс бичлэг хийгээгүй бол хадгалсан дүрс бичлэгэн дээр дахин ногоон фильтрийг ашиглах боломжгүй.
[ЗУРАГ УСТГАХ]

Устгах товчийг дарахад баталгаажуулах мэдэгдэл гарч ирнэ. [OK] товчийг дарснаар та зургийг устгаж болно.

Зураг 16 - Сонгосон зургийг устгах мэдэгдэл

Leave a Comment

Нийтэд түгээх

ЗУРАГ АВАХ

Холбоосыг хуулбарлах

АГУУЛГА